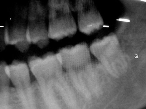
俺の親知らずをレントゲンで見た医者が「とんでもねぇな…」ってつぶやいてたんだけど
431以下、?ちゃんねるからVIPがお送りします2021/09/29(水) 00:49:43.642ID:T2Wyb+1e0.net
下側にある埋伏智歯ね
大きすぎて神経に触ってるから家では抜歯できませんって
こんなことってあるのか?
大きすぎて神経に触ってるから家では抜歯できませんって
こんなことってあるのか?
2以下、?ちゃんねるからVIPがお送りします2021/09/29(水) 00:50:52.108ID:QsF2ZlxWM.net
それはとんでもねぇな
4以下、?ちゃんねるからVIPがお送りします2021/09/29(水) 00:51:39.696ID:AsVhDfVE0.net
歪みねえな
5以下、?ちゃんねるからVIPがお送りします2021/09/29(水) 00:51:45.865ID:1S5gZJ7F0.net
そもそも抜く必要あるのか
8以下、?ちゃんねるからVIPがお送りします2021/09/29(水) 00:52:21.489ID:T2Wyb+1e0.net
>>5
これのせいで顔歪んだ
顎関節症になった
メチャクチャ異物感あって辛い
これのせいで顔歪んだ
顎関節症になった
メチャクチャ異物感あって辛い
6以下、?ちゃんねるからVIPがお送りします2021/09/29(水) 00:52:01.483ID:TwDnonIn0.net
わりとよくある
歯茎切開してどうこうは無理って歯医者多いよ
歯茎切開してどうこうは無理って歯医者多いよ
9以下、?ちゃんねるからVIPがお送りします2021/09/29(水) 00:52:35.326ID:T2Wyb+1e0.net
>>6
どこ行けばやってもらえるのん
どこ行けばやってもらえるのん
11以下、?ちゃんねるからVIPがお送りします2021/09/29(水) 00:53:53.090ID:TwDnonIn0.net
>>9
うちじゃ出来ないってなったら紹介状出してくれるでしょ
うちじゃ出来ないってなったら紹介状出してくれるでしょ
10以下、?ちゃんねるからVIPがお送りします2021/09/29(水) 00:53:18.958ID:SYA19k9O0.net
でかい病院いきな
13以下、?ちゃんねるからVIPがお送りします2021/09/29(水) 00:54:22.682ID:T2Wyb+1e0.net
>>10
近所の大学病院、親知らずの抜歯はやりませんて受付に書いてあるんだよ
常勤してる歯科医師がいないんだって
近所の大学病院、親知らずの抜歯はやりませんて受付に書いてあるんだよ
常勤してる歯科医師がいないんだって
12以下、?ちゃんねるからVIPがお送りします2021/09/29(水) 00:54:15.002ID:QsF2ZlxWM.net
紹介状の話出なかったん?
15以下、?ちゃんねるからVIPがお送りします2021/09/29(水) 00:55:21.260ID:T2Wyb+1e0.net
>>11
>>12
出してくれなかったよ
虫歯になったら抜きますからそれまで様子見ましょうって普通に歯石とって終わり
その後なぜか3回も虫歯治療で通わされてムカついたわ
>>12
出してくれなかったよ
虫歯になったら抜きますからそれまで様子見ましょうって普通に歯石とって終わり
その後なぜか3回も虫歯治療で通わされてムカついたわ
17以下、?ちゃんねるからVIPがお送りします2021/09/29(水) 00:56:53.672ID:TwDnonIn0.net
>>15
その違和感とか伝えてすぐ抜きたいと突っ張れよ
なに丸め込まれてんだ
その違和感とか伝えてすぐ抜きたいと突っ張れよ
なに丸め込まれてんだ
21以下、?ちゃんねるからVIPがお送りします2021/09/29(水) 01:00:49.373ID:T2Wyb+1e0.net
>>17
確かに…
まあ隣の町の大学病院当たってみるわ
確かに…
まあ隣の町の大学病院当たってみるわ
14以下、?ちゃんねるからVIPがお送りします2021/09/29(水) 00:55:00.591ID:N9v8YdnUa.net
治療めちゃ辛いらしい
ファイトやで
ファイトやで
16以下、?ちゃんねるからVIPがお送りします2021/09/29(水) 00:55:47.561ID:T2Wyb+1e0.net
>>14
この顎の違和感から開放されるなら頑張るぞ
ありがとな
この顎の違和感から開放されるなら頑張るぞ
ありがとな
18以下、?ちゃんねるからVIPがお送りします2021/09/29(水) 00:58:07.407ID:cMo+eboE0.net
歯科じゃなくて外科だから
口腔外科で探したら良いじゃん?
もしくは保健所でも良いぞ
口腔外科で探したら良いじゃん?
もしくは保健所でも良いぞ
22以下、?ちゃんねるからVIPがお送りします2021/09/29(水) 01:01:46.889ID:T2Wyb+1e0.net
>>18
あいにくと身近にそういう病院がまったくないんだよ
一番近くて車で1時間の距離なんだよなぁ
あいにくと身近にそういう病院がまったくないんだよ
一番近くて車で1時間の距離なんだよなぁ
25以下、?ちゃんねるからVIPがお送りします2021/09/29(水) 01:04:10.870ID:cMo+eboE0.net
>>22
うちはベッドタウンだけとそんなもんだな
口腔外科で4本抜くなら2泊3日ぐらいしたほうがいいぞ
どうせ抜くなら全部抜け
バランス悪くなるし
うちはベッドタウンだけとそんなもんだな
口腔外科で4本抜くなら2泊3日ぐらいしたほうがいいぞ
どうせ抜くなら全部抜け
バランス悪くなるし
20以下、?ちゃんねるからVIPがお送りします2021/09/29(水) 00:59:11.815ID:ZzE4dWN7d.net
昔大きくて横からはえた親知らず抜いたけど
ノミとハンマーでガンガンぶっ叩いて砕いて抜いた
麻酔なんか効かない位痛かった
ノミとハンマーでガンガンぶっ叩いて砕いて抜いた
麻酔なんか効かない位痛かった
23以下、?ちゃんねるからVIPがお送りします2021/09/29(水) 01:02:04.991ID:T2Wyb+1e0.net
>>20
こわE…
こわE…
28以下、?ちゃんねるからVIPがお送りします2021/09/29(水) 01:07:20.191ID:IQJuGz9vd.net
>>23
大人だけど涙出た
首が引っ込むぐらいにぶっ叩かれて、叩かれる毎に「…ガっ!!」と声にならない呻き声出しながら涙出てた
地獄
大人だけど涙出た
首が引っ込むぐらいにぶっ叩かれて、叩かれる毎に「…ガっ!!」と声にならない呻き声出しながら涙出てた
地獄
34以下、?ちゃんねるからVIPがお送りします2021/09/29(水) 01:08:58.144ID:T2Wyb+1e0.net
>>28
なんの拷問だよwwwwwwwww
なんの拷問だよwwwwwwwww
24以下、?ちゃんねるからVIPがお送りします2021/09/29(水) 01:03:02.795ID:/cpraaoS0.net
親知らずは麻酔打って痛みは無かったけどゴリッゴリッって振動が伝わってきて麻酔無かったら痛みで死ぬんじゃないかって思った
抜いた後も常に膿が出るし痛み止めないと夜も眠れなくなる
抜いた後も常に膿が出るし痛み止めないと夜も眠れなくなる
31以下、?ちゃんねるからVIPがお送りします2021/09/29(水) 01:08:43.872ID:T2Wyb+1e0.net
>>24
怖いなぁ本当に
怖いなぁ本当に
26以下、?ちゃんねるからVIPがお送りします2021/09/29(水) 01:05:54.530ID:Au66sIl30.net
身内が親知らずで口腔外科行ったけどなかなか辛そうだった
31以下、?ちゃんねるからVIPがお送りします2021/09/29(水) 01:08:43.872ID:T2Wyb+1e0.net
>>25
俺の親知らずは綺麗に一本しか生えてないんだ
でもやっぱそんなもんだよなー
遠いけどクリニックではなくデカい病院探してみるわ
俺の親知らずは綺麗に一本しか生えてないんだ
でもやっぱそんなもんだよなー
遠いけどクリニックではなくデカい病院探してみるわ
29以下、?ちゃんねるからVIPがお送りします2021/09/29(水) 01:07:38.283ID:3r9fjgeYa.net
あー、下の親知らずはね
俺のやつも抜くの無理だと思う真横に生えてるからwww
俺のやつも抜くの無理だと思う真横に生えてるからwww
32以下、?ちゃんねるからVIPがお送りします2021/09/29(水) 01:08:48.367ID:TwDnonIn0.net
>>29
若いうちに抜いとけよ
年取ってから抜くと回復遅いし地獄だぞ
若いうちに抜いとけよ
年取ってから抜くと回復遅いし地獄だぞ
30以下、?ちゃんねるからVIPがお送りします2021/09/29(水) 01:08:16.656ID:xEqqG2JY0.net
>>1
ごめんちょっと笑っちゃった、よっぽどとんでもねぇんだな、おだいじに
ごめんちょっと笑っちゃった、よっぽどとんでもねぇんだな、おだいじに
35以下、?ちゃんねるからVIPがお送りします2021/09/29(水) 01:09:29.095ID:T2Wyb+1e0.net
>>30
笑うな😡
まじで恐怖で顔が引きつってるよ
笑うな😡
まじで恐怖で顔が引きつってるよ
33以下、?ちゃんねるからVIPがお送りします2021/09/29(水) 01:08:56.904ID:zqtp9mM3d.net
変な生え方してるのは抜いた後が地獄
抜くのはそうでもない
抜くのはそうでもない
36以下、?ちゃんねるからVIPがお送りします2021/09/29(水) 01:12:20.073ID:TwDnonIn0.net
●下顎埋伏智歯抜歯に伴う合併症の発生頻度
下あごのもぐっている親知らず(下顎埋伏智歯)の抜歯は、親知らずの抜歯の中では最も合併症をおこす割合が高く、発生頻度は4.3~14.7%(腫れ、痛みを除く)とされています。
ドライソケット(歯槽骨炎)が最も多く、感染、知覚障害(神経損傷、神経麻痺)、出血(血が止まらない)などがおきます。
はー・・・こわい
まぁそのがんばってな
下あごのもぐっている親知らず(下顎埋伏智歯)の抜歯は、親知らずの抜歯の中では最も合併症をおこす割合が高く、発生頻度は4.3~14.7%(腫れ、痛みを除く)とされています。
ドライソケット(歯槽骨炎)が最も多く、感染、知覚障害(神経損傷、神経麻痺)、出血(血が止まらない)などがおきます。
はー・・・こわい
まぁそのがんばってな
37以下、?ちゃんねるからVIPがお送りします2021/09/29(水) 01:13:09.404ID:T2Wyb+1e0.net
>>36
うーんこの
うーんこの
39以下、?ちゃんねるからVIPがお送りします2021/09/29(水) 01:13:42.377ID:AdbTNFzN0.net
俺もウチでは無理と付近で一番でかい病院を紹介されて麻酔して粉砕して抜歯されたな
バールかなにかでガキゴキされて麻酔しててもアゴがネジ曲がるような圧だった
でもそんなんやるほどの親知らずだと抜いたほうが遥かに楽にはなったよ
バールかなにかでガキゴキされて麻酔しててもアゴがネジ曲がるような圧だった
でもそんなんやるほどの親知らずだと抜いたほうが遥かに楽にはなったよ
40以下、?ちゃんねるからVIPがお送りします2021/09/29(水) 01:14:22.989ID:T2Wyb+1e0.net
>>39
やっぱ抜いた方がいいんだね!?
やっぱ抜いた方がいいんだね!?
42以下、?ちゃんねるからVIPがお送りします2021/09/29(水) 01:17:04.420ID:AdbTNFzN0.net
>>40
そうでもしないと抜けない状態の歯があるわけだからね
その歯のあたりアゴが常に歪んでるような感覚や痛みはないの?
そうでもしないと抜けない状態の歯があるわけだからね
その歯のあたりアゴが常に歪んでるような感覚や痛みはないの?
44以下、?ちゃんねるからVIPがお送りします2021/09/29(水) 01:19:15.810ID:T2Wyb+1e0.net
>>42
あるよ
ギリギリと隆起したような嫌な感じが常にする
いつも顎が浮いているようで不快だわ
あるよ
ギリギリと隆起したような嫌な感じが常にする
いつも顎が浮いているようで不快だわ
46以下、?ちゃんねるからVIPがお送りします2021/09/29(水) 01:21:00.309ID:Qf1VWAUN0.net
奥歯痛かったからいつもの歯医者いったらすぐ大学病院紹介されたけどなぁ
47以下、?ちゃんねるからVIPがお送りします2021/09/29(水) 01:26:26.281ID:jok2SMvUM.net
歯が神経に接触してるんだろ?神経が接触してる状態で歯をゴリゴリバリバリバキバキガキンッとかやってたら神経傷付いて舌半分麻痺のピリピリ舌回避不可能じゃん
抜くより辛い地獄の生活の始まりだなご愁傷さまです…
抜くより辛い地獄の生活の始まりだなご愁傷さまです…
41以下、?ちゃんねるからVIPがお送りします2021/09/29(水) 01:14:50.176ID:T2Wyb+1e0.net
はーこわい
お前らのせいで無駄に怖くなっただろ
誇張すんなよ
お前らのせいで無駄に怖くなっただろ
誇張すんなよ
他の人が読んでる記事(外部)
- 凍ったペットボトルに扇風機の風当てるとかいう除湿やってみた結果www
- バイト先の店長「休みなのにごめん!忙しくて店回らないから来てくれない?」俺「いいっすよ!7時15分には着けると思います!」 → 遅れた結果www
- Amazonで毛布ポチったら謎の物体が届いた → サポートに問い合わせた結果www(※画像あり)
- 小山*圭吾の悪行コピペを長年貼り続けてきた奴にかけてあげたい言葉
- 社長の息子「固定費削減するから職人全部切るわ」 → 無能が役員になった会社の末路・・・
- 【悲報】婚活市場、女が余りまくる。何故か男が全く参加せず
- 【悲報】結婚7年目ワイ、嫁に別の女紹介される
- 高卒店員「ご注文おきまりでしょうか」 慶應卒俺「Okay boy, I think, you know, you should bring a glass of water to me boy.」
- 一流漫画家さん、藤本タツキの新作読み切りを読みあまりの実力差に引退を考える
- 4連休前に「どっか行こうよ」て送ったLINEが今帰ってきた
- 上司「女性社員からお前の体臭がくさいって苦情来たぞ」 ワイ「女物シャンプーにします」
- 小学生の時、軽くイジメてた女に仕事関係で10年ぶりに会ったらめちゃくちゃ可愛くなってたからwww


親知らず4本抜いたワイ、高みの見物
親知らずって歯の再生に使えるんやろ
残せるなら残した方がええんちゃう?
ヤブ医者だな
神経触ってるどころか顔の神経から直接栄養貰ってる状態って言われた
大学病院でも抜かない方がいいって言われて結局ずっと放置だわ
>>3
自信ないときに無理してやらずに、他に行かせるのはヤブじゃない
紹介できる知り合いがいないのも評価低いよな
ワイは上だったから気づいたら終わってたわ
昔親知らず片方だけ大学病院で抜いてむちゃくちゃ痛かったわ
もう片方も横に生えてるから痛みが引いたらまた来てって言われたけど
そのまま行ってない
親知らずの抜歯って、現代の医術だと思えないくらい強引だよな
ホント麻酔はありがたい
デカイとこで全身麻酔やな
下顎孔伝達麻酔
歯肉切開(縦切開、横切開)
骨膜剥離
骨削合
歯冠削合、切断、除去
歯根抜去
洗浄
縫合、圧迫止血
口腔外科あるところに行きなっせえ
>>1
四本ともスッキリ軽く抜けたワイも横に並ばせておくれ
麻酔も普通のやつで済んだよ
予後も良好で「ちゃんと言い付け守ってたんだねエライ」だて言われてなんか照れたw
>>4
そんな状態もあるんだな
虫歯だけはお気をつけて
上の歯は副鼻腔と繋がるかもしれないし、下の歯は三叉神経傷つけて顔面麻痺になるかもしれない
意外と抜歯って危険なのよ
法人形態の口腔外科併設のところならわけなく治療してくれるよ。
個人経営のところも潔く紹介してくれるところは信じるに足ると思う。
下は横向き埋没だったけど個人、法人それぞれ一本ずつ抜歯したけど法人の方は当時若い先生だったけど腕が抜群で普通の抜歯と同じくらいの時間で問題無く抜歯してくれた(治療時間は小1時間ほど)。
口コミが確認できる病院ならなおよしだと思う。
自分が親知らず抜く時は怖くてネットで親知らずに関することを調べまくった。
抜いた後当時やってたblogに経験談書き込んだら、普段観覧者十数人なのがその記事だけ百人以上いた。
いい歳してみんな考えることは同じなんだなと思った。
下の歯、砕いて抜くかもしれんと脅されてたけど案外綺麗に生えてたらしくそのまま抜いてもらえたで
麻酔してたけど切り株引っこ抜くみたいな音と感触が怖かった
神経引きちぎる音だったんかな
麻酔切れたらめちゃ痛い聞いてたから早め早めにロキソニン飲んでたで
術後痛みはなかったけど
こぶとり爺さん並みに顔腫れたわ
>>11
そんな頭良さそうな説明じゃなかった。
説明は執刀とは別の若い女医さんだっけど、書類の端に汚い字で
歯茎を切ります
あごの骨をけずります
親知らずを砕きます
歯を取り除き綺麗にして歯茎を縫います。
おしまい。
って書かれて不安しかなかった。
なお神経の薬のせいで、抜いた本人はまったく覚えていなかったもよう。
>>1
4本抜いたら頬がこけてしまったよw
でも長年の頭痛が治ってスッキリ
1本は歯根が捻れてる上に半分隣の歯に潜ってて、医師に相当痛いしカケラも残ると散々脅されたけど、医師の手が滑って良い方向に歯が回転し、無痛無血のミラクル抜歯w
麻酔が切れた後もあまり痛くなかった。
最近だらしねぇな?
親知らずじゃないけど、小学生の頃友人が奥歯の永久歯が生えずに歯茎の中で横向きになって育ってるとかで、歯科大病院で手術して12歳にして2本分の部分入れ歯になった
難しい親知らずも歯科大病院なら何とかなるんじゃないかなあ
大学病院が担当するレベルなら
全身麻酔だから痛みの心配は無いな
患者が一番キツイのは下手な町医者がギリギリ
手術できるレベルだしな
歯科大で抜いて貰ったなあ
ワイの歯も埋まってて歯を割って掘り出すのに三時間近くかかった
歯科医二人とも汗びっしょりになってたわ
4本抜いたけど上2本はスポーン!と抜けたけど
下2本は結構大変だったわ
抜いた後は別に大して苦労しなかったな、食い物がクレーターに入っちゃうくらいで
リューターみたいなので半分に割って抜いてもらった
痛いと聞くからビビってたけど、我慢できないほどじゃなかった
頭に響く振動が怖かったくらい
早く抜けばよかったよ
>>2
親不知があると奥が綺麗に磨けなくて虫歯の原因になるし、歯並びが悪くなるぞ
とっとと抜いた方がメリット多い
>>5
紹介状書いてくれなかったそうだし他に行かせてないやん
セカンドオピニオンを勧めない時点でヤブだわ
親不知を町歯科で砕かれて総合病院に自走して手術したことあるな。
歯茎を切開して、折れた歯ごとドリルで顎の骨から切り出したぞ。
縫合が上手くいかなくて帰宅途中に口の中が血で満たされるようになったから、とんぼ返りして縫合し直してもらったいい想い出がある。
下顎と上顎では全く違うよな
下顎はマジで手術せなアカンかったりする
普通の歯の下にもう1本、同じく縦向きに歯が生えてたり
本当にとんでもない生え方している人がたまにいる
一本目は虫歯で楽勝(下顎
日本目は全身麻酔拒否で粉砕して抜歯で地獄(下顎
三本目も粉砕だが上顎の為少し地獄
四本目はまだ残ってる
状況によって本当に違う但し全身麻酔拒否は歯科医に恨まれる
「抜歯したら骨も付いてくることありますね^^ウフフ」@美人女医
嫌ァ!!! 怯えてるビビリマンにホラー映画より怖いこと言わないでよ…
※32
イタイイタイ、ヤーヤーなの!状態だから
「全身麻酔してる間に全部ヤッちゃってください!」な本音なんだけど、
断る理由ってなんなんだろう・・・
俺も同じで神経に近すぎて手に余るからって言われて大学病院への紹介状書いてもらった。
口腔外科での手術になって、顔の覆いを取られた時にギャラリーが10人以上いたんで驚いた。有名なドクター(プロフェッサ?)らしくて痛いとは思わなかったな。
術後も良かった。切開したところは結構大きくて何針も縫ってあった。
>>19
歯を抜く度に記憶を失う医者とかおもろすぎやろ
俺親知らず4本生えそろったわ
歯科は普通の医者と違ってカスも多いから
抜歯できる病院の紹介すらできんなんてザラやぞ。
ちゃんと医者として機能してるのは口腔外科や。
口腔外科は優秀やから まずそっち池
割と綺麗に生えてたのに何故か大学病院に紹介で抜きに行った
無様な姿を20人くらいの学生に晒すことになった
役に立って良かった
術後の方がツラい定期
横になった親知らずに押し出されて、前歯の並びが歪んだわ。
横になってることがわかった時点で速攻抜いたほうがいい
>>18
俺のことかと思った
メリメリバリバリ言うよね
よく「今まで退化せずに残ってるんだから人間の体に無駄な機能なんてない!」とか言っちゃう頭おかしい奴がいるけど親不知とアレルギーという二大害悪機能の存在がそれを見事に論破してるんだよな
人体なんて欠陥だらけの欠陥品よ、早く全身義体技術が実用化されればいいのに